Sheep pulmonary adenomatosis (ovine pulmonary adenomatosis, OPA, Jaagsiekte) is a chronic contagious bronchoalveolar carcinoma caused by the Jaagsiekte sheep retrovirus. Since effective treatment and a vaccination procedure are not currently possible, control and eradication of the disease is difficult. It leads to serious economic losses around the world, therefore studies are currently underway in order to design control and eradication programmes. In this study, levels and changes in selected tumour markers (carcinoembryonic antigen (CEA), carbohydrate antigen (CA) 125, CA 19-9, CA 15-3, and alphafetoprotein (AFP)-3) and their diagnostic significance were investigated.
A total of 30 sheep were used. Clinical examinations were performed and blood samples were obtained before slaughter from all animals with presumed OPA. Blood samples with positive OPA results by macroscopic and histopathological examination were included in the study as the experimental group and numbered 20. Sheep totalling 10 had negative OPA results and provided control samples.
CEA levels were similar in both groups, and the differences were statistically insignificant (P > 0.05). CA 125, CA 19-9, CA 15-3, and AFP-3 levels were higher in the OPA group than the control group and with statistical significance (P < 0.05). In all OPA animals, CA 125 levels were higher than 1 U/mL.
serum CAs and AFP levels increase significantly in adenomatous sheep. These tumour markers are thought to facilitate the diagnosis of OPA.
Keywords
- sheep
- pulmonary adenomatosis
- tumour biomarkers
- diagnosis
Sheep pulmonary adenomatosis (ovine pulmonary adenomatosis, OPA, Jaagsiekte) is a chronic contagious bronchoalveolar carcinoma caused by Jaagsiekte sheep retrovirus (JSRV) (9, 20). Infection occurs in all sheep breeds and may also occasionally affect goats. In infected goats, kids, and lambs, the disease usually follows a subclinical course (18, 32). The disease was first described in South Africa in 1865, and now a century and a half later it is currently emerging across much of the world and inflicting grave economic losses in the sheep industry in several regions, New Zealand, Australia, and Iceland being the only unaffected countries (4, 9, 12). The disease caused losses up to 50–80% in the countries where it first emerged, and its incidence is 1–2% in endemic regions (1, 17, 18).
Anamnesis, clinical findings, necropsy, histopathology, immunohistochemistry, electron microscopy, polymerase chain reaction (PCR), ultrasonography, and computed tomography may be helpful in the diagnosis of the disease (9, 12). Detecting JSRV proteins may be helpful for laboratory diagnosis; however, specific JSRV antibodies are not present in blood, and these proteins can only be detected within a tumoural mass in the lungs of sick animals. Therefore, there is no existing laboratory test for diagnosing the disease in live animals (1). In adult sheep, chronic pneumonia that does not respond to antibiotic treatment and proves fatal may suggest this disease. However, the definitive diagnosis can only be made by necropsy and histopathological examination
(2, 5, 9, 11, 22). PCR, even with a high quotient of false-negative results, may be used to detect infected herds for epidemiological studies but is not suitable to detect the disease individually for eradication purposes. Ultrasonography is an alternative and more accurate diagnostic method and can be used for detecting large tumours in animals with subclinical infections. Therefore, infected animals can be detected in the early stages and separated from the herds. Computed tomography has also been reported for diagnosing OPA; however, its cost prevents its widespread usage (12, 31).
Since there is not any effective treatment or vaccination, control and eradication of the disease is difficult. OPA leads to considerable economic losses in several regions of the world, therefore studies are currently in progress in order to establish control and eradication programmes. Natural infection occurs in sheep by the aerosol route, whereas in younger animals, it occurs by colostrum and milk ingestion (1, 12, 29, 31).
OPA and human lung adenocarcinomas have similar clinical, morphological, pathological, and histopathological features, and consequently it is reported that OPA can form a decent model for human lung adenocarcinomas (5, 12, 20, 33, 40). Tumour markers have been used in human medicine for scanning, diagnosis, prognosis, and monitoring cancer cases. Markers such as carcinoembryonic antigen (CEA), cytokeratin fragment (CYFRA 21-1), and cancer or carbohydrate antigens (CA) 15-3, 19-9, and 125 have been widely used for diagnosing and tracking treatment of various tumour types (24, 25). No ideal tumour marker exists; however, markers such as CEA, CAs, CYFRA 21-1, and α-fetoprotein (AFP) have been used for monitoring several cancer patients (10). In our literature searches, we did not find any study concerning the evaluation of CEA, CA 125, CA 19-9, CA 15-3, and AFP-3 levels in sheep with OPA.
In this study, the levels and changes in these tumour markers used in human medicine as well as the significance of these markers in diagnosis of the disease were investigated.
The animal material consisted of sheep two years old and older brought to a private slaughterhouse. Before slaughter, blood samples were obtained from all animals that were clinically examined and presumed to be infected with pulmonary adenomatosis. Following slaughter, blood samples of animals which were OPA-positive according to macroscopic and histopathological examinations were included in the study. Blood samples obtained from a total of 30 sheep – 20 sheep with positive and 10 with negative OPA results – were used in this study. Each sample was collected from the jugular vein partly into a tube with EDTA and partly into a coagulant-free tube. Samples in coagulant-free tubes were centrifuged at 3,000 × g for 10 min (Rotofix 32, Hettich, Tuttlingen, Germany) and serum samples were extracted. Extracted sera were stored at −20°C until the assay was performed. Concentrations of tumour markers such as CEA, CA 125, CA 19-9, CA 15-3, and AFP-3 were measured in an autoanalyser (Architect System
Macroscopic and histopathological examinations were performed on the lungs of the OPA-suspected animals. Following macroscopic examinations, lung tissues were obtained from the sick animals and fixed in 10% formalin solution for 48 h and washed under flowing tap water for 10 h. Tissue samples were passed through a graded series of alcohol and xylol, and 4 μm thick sections were prepared on microscope slides. Preparations were stained by haematoxylin-eosin (HE) and examined under a light microscope (DM 1000, Leica, Wetzlar, Germany).
Tumour biomarker results in healthy and OPA sheep
| Tumor biomarker | Control (x̅ ±Sx̅) | OPA (x̅ ±Sx̅) |
|---|---|---|
| CEA (ng/mL) | <0.5 | <0.5 |
| CA 19-9 (U/mL) | 1.495 ± 0.104 | 1.759 ± 0.151 Means in the same row with asterisks are statistically significant (P < 0.05) |
| CA 15-3 (U/mL) | 1.028 ± 0.146 | 1.481 ± 0.156 Means in the same row with asterisks are statistically significant (P < 0.05) |
| CA 125 (U/mL) | <1 | 1.235 ± 0.211 Means in the same row with asterisks are statistically significant (P < 0.05) |
| AFP-3 (ng/mL) | 0.001 | 0.038 ± 0.017 Means in the same row with asterisks are statistically significant (P < 0.05) |
Fig. 1
Macroscopic appearance of the lungs. A – grey-white tumoural foci on a diaphragmatic lung lobe; B – large foci consisting of merged small foci; C – effusive greyish tumoural foci in cross-section of the lung
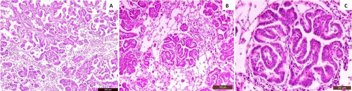
Microscopic examinations showed that the type-II pneumocytes on the alveolar wall had papillary extensions towards the alveolar lumen, and that the Clara cells on the bronchiolar wall proliferated towards the lumen (Fig. 2A). In addition, adjacent alveoli were filled with macrophages (Figs 2A and 2B). These anaplastic cells which had proliferated on the walls of the alveoli, bronchi, and bronchioles were poor in chromatin, were eosinophilic, and had vacuoles. Alveolar and bronchial lumens were narrowed due to cell proliferations (Fig. 2C).
Fig. 2
Microscopic appearance of the lungs. A – type-II pneumocytes proliferating in alveolar lumen and numerous macrophages on adjacent alveoli; H&E, Bar: 200 μm; B – type-II pneumocytes proliferating in alveolar lumen and numerous macrophages on adjacent alveoli; H&E, Bar: 100 μm; C – type-II pneumocyte cells proliferating in alveolar lumens; H&E, Bar: 20 μm
Since treatment for OPA does not exist, studies have been performed regarding diagnosis, prophylaxis, and eradication of the disease in recent years (2, 12, 18). The absence of studies related to the levels and role of tumour markers in OPA directed us to perform such a study. In this research, the levels and changes in selected tumour markers used in human medicine as well as the contribution of these markers to diagnosis of the disease were investigated.
According to previous studies, the incubation period of the disease is long (six months to three years), therefore clinical symptoms usually develop in two-year-old or older animals. However, clinical symptoms were also reported in animals less than one year of age, albeit rarely (18, 31, 32). Clinical symptoms develop with the progression of tumoural mass in the lungs. The most typical clinical findings from observation of the disease were reported as severe dyspnoea and frothy, clear, milky, or sometimes pink fluid exuding from the nose when the hind legs of the animals were raised, using the technique called the “wheelbarrow test”. The amount of fluid is usually 10–40 mL, although it may reach 400 mL in some animals. It is also reported that sick animals may fall behind the herd and have exacerbated dyspnoea when forced to walk. Findings such as coughing and loss of appetite are not common; the appetite is usually normal. Severe loss of weight can be observed with the development of the disease. Auscultation of the lungs also does not assist in differential diagnosis of the disease. While pathological lung sounds cannot be heard, moist rales may be audible in some animals even without using a stethoscope. Death usually occurs due to secondary bacterial pneumonias and respiratory failure (1, 12, 20, 31, 32).
In our study, most of the animals with OPA were two years of age or older and they were dyspnoeic. The dyspnoea was exacerbated when they were forced to walk, and some animals had severe frothy fluid exuding from their noses. Serious sound changes were not detected in most of the animals when their lungs were auscultated, however, an increase in respiratory rate was detected, as were rises in body temperature and heart rate. Some animals had coughing, weight loss, and anorexia. These clinical findings correspond with the previously reported clinical findings (1, 12, 18, 20, 31, 32).
Development of macroscopic lesions, particularly on the cranioventral lobes of the lungs, were attributed to the disease. These lesions were diffuse, solid, and merged nodules with grey-white colour resembling an icy glass. Histologically, the lesions were reported as generally consisting of proliferated foci in alveoli and were formed by cubic and prismatic epithelial cells proliferating towards the lumen of the alveoli and bronchioli. Some of these lesions were also reported to consist of acinar and solid structures (13, 14, 19, 27, 28). Additionally, it was also noted that developing tumour cells principally originate from type-II pneumocytes and the Clara cells (9, 18). With the emergence of a tumour, cancer cells occupy places in the normal structure of the lung and lead to both deterioration in normal lung function and excessive fluid secretion (12, 20, 31). In this study, macroscopic and microscopic findings corresponded to these previously published observations.
OPA and human adenocarcinomas have similar morphological, pathological, and epidemiological features; thus, OPA can be used as a decent model for human lung adenocarcinomas (12, 20, 33). In recent years, tumour biomarkers have gained importance and have been used for detection and management of various cancer types in human medicine. Tumour markers such as CEA, CYFRA 21-1, and CAs 15-3, 19-9, and 125 have been widely used for diagnosing and tracking treatment of various tumour types (24, 25). Additionally, combined usage of tumour biomarkers has great importance in diagnosis of cancer. An ideal tumour marker does not exist because each biomarker has own specificity and sensitivity. Nevertheless, tumour markers such as CEA, CAs, CYFRA 21-1, and AFP have been used for monitoring several cancer patients (10, 16, 39, 42). The main tumour markers used to diagnose lung cancer are CEA, NSE, and CYFRA 21-1. Nevertheless, cancer antigens such as CA 125 and CA 19-9 are present in high concentrations in lung cancer, and these markers were proposed as potentially exploitable for its detection (15, 34).
CEA is a membrane-associated glycoprotein that has functions such as cellular adhesion and signal transduction. It is secreted by several adenocarcinoma types including monoclonal CEA (mCEA) derivatives (26). CEA has been used for differential diagnosis of lung cancers as well as monitoring and detecting their recurrent conditions (15). Certain studies describe CEA as an important biomarker used in non-small cell lung cancer (NSCLC) for determining prognosis (8, 15). Tomita
CA 125 has been used as a tumour indicator for monitoring cancer patients and evaluating recurrence rates, especially for ovarian cancers. High serum CA 125 concentrations were reported in patients with ovarian cancers as well as in patients with liver disorders (3, 41). In addition, CA 125 has been commonly used in diagnosis of malignant gynaecological pelvic tumours. It is secreted in high amounts by epithelial ovarian cells and serous ovarian adenocarcinoma, and its concentrations increase when the disease progresses (7). Tuxen
CA 19-9 is an antigen associated with gastrointestinal cancer types that increases in patients with gastrointestinal carcinomas, particularly where the pancreas is affected (41). CA 19-9 is stated to be a useful biomarker for diagnosing gastrointestinal tract tumours, especially pancreatic and colorectal cancer, adenocarcinomas of ovarian pulpa and serous and mucous adenocarcinomas of the ovarium (7). Li
CA 15-3 is another tumour biomarker with a large cellular surface mucin glycoprotein that is secreted from several glandular and ductal epithelial cells as well as certain haematopoietic cells (41). Serum AFP has been used as a useful marker for recurrent hepatocellular carcinomas even before the clinical symptoms develop. High concentrations of serum AFP were reported in malignant tumours of the gastrointestinal tract, pancreas, lung, and kidney (41). In our study, CA 125, CA 19-9, CA 15-3, and AFP-3 concentrations were higher in sheep with OPA than in the control group and this increase was statistically significant. When these results are examined, it is apparent that an increase in these markers such as occurs in various human cancer types is also observable in animals with OPA.
As there was a significant increase in serum CAs and AFP, it is concluded that using the studied tumour biomarker panel may make an important contribution to the diagnosis of OPA. However, in further studies, it will be necessary to use more animals and assay the positivity rate of each tumour marker specifically. As a desirable result of this and subsequent research, these tumour markers may be proposed for use in routine diagnosis and control of OPA in sheep. Additionally, it is also concluded that performing further studies related to combined usage of different panels such as circulatory tumour markers, ctDNA, and micro RNA (miR-486, miR-30d, mir-1,
Fig. 1

Fig. 2

Tumour biomarker results in healthy and OPA sheep
| Tumor biomarker | Control (x̅ ±Sx̅) | OPA (x̅ ±Sx̅) |
|---|---|---|
| CEA (ng/mL) | <0.5 | <0.5 |
| CA 19-9 (U/mL) | 1.495 ± 0.104 | 1.759 ± 0.151 Means in the same row with asterisks are statistically significant (P < 0.05) |
| CA 15-3 (U/mL) | 1.028 ± 0.146 | 1.481 ± 0.156 Means in the same row with asterisks are statistically significant (P < 0.05) |
| CA 125 (U/mL) | <1 | 1.235 ± 0.211 Means in the same row with asterisks are statistically significant (P < 0.05) |
| AFP-3 (ng/mL) | 0.001 | 0.038 ± 0.017 Means in the same row with asterisks are statistically significant (P < 0.05) |
Field trial of antibody response to inactivated bacterial vaccine in young Holstein calves: influence of animal health status Comparison of microscopy, card agglutination test for Trypanosoma evansi , and real-time PCR in the diagnosis of trypanosomosis in dromedary camels of the Abu Dhabi Emirate, UAEA new enzyme-linked immunosorbent assay for serological diagnosis of seal parapoxvirus infection in marine mammals Development of a real-time TaqMan PCR assay for the detection of porcine circovirus 4 Effective control of Johne’s disease in large Czech dairy herds Prevalence of infectious diseases on dairy farms classified on the basis of their biosecurity score Dirofilaria repens in dogs and humans in Slovenia
